За пациентите, изправени пред значителна костна загуба в горната челюст, пътят към възстановената усмивка исторически е бил постлан с инвазивни, отнемащи време процедури за присаждане на кост. Задната част на максилата често представлява уникално предизвикателство поради близостта на максиларните синуси и естествената тенденция на костта да се резорбира след загуба на зъб. В продължение на десетилетия „синус лифтът“ (повдигането на синуса) беше златен стандарт, изискващ месеци на заздравяване, преди изобщо да може да бъде поставен имплант. Въпреки това, тъй като технологията за зъбни импланти се развива, се развива и способността ни да работим със съществуващата анатомия, вместо да се борим с нея.
Транссинусовите зъбни импланти представляват промяна на парадигмата във възстановителната дентална медицина. Използвайки специализирани техники и високопрецизни изображения, хирурзите вече могат да навигират в синусната кухина, за да закотвят имплантите в плътна, стабилна кост, която преди това се е смятала за недостижима. Този подход не просто пести време; той намалява хирургичната травма и осигурява незабавно решение за тези, на които е било казано, че не са подходящи кандидати за традиционни импланти. Това е сложна комбинация от геометрия, биология и инженерство, предназначена да върне функцията на съвременния пациент с минимално забавяне.
Какво представляват транс синусовите зъбни импланти?
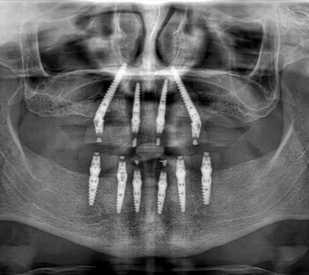
Транссинусовите зъбни импланти са специализирана подкатегория на денталната имплантология, създадена специално за горната челюст (максилата). За разлика от стандартните импланти, които изискват определена дълбочина на вертикалната кост, за да останат стабилни, транссинусовите импланти са стратегически наклонени или позиционирани така, че да преминават през или покрай кухината на максиларния синус, за да се захванат в кортикалната кост.
Терминологията „транссинусови“ се отнася до пътя, който имплантът изминава. Чрез използването на стабилните костни структури, заобикалящи синуса, клиницистите могат да постигнат висока първична стабилност – първоначалното „захващане“ на импланта – дори когато алвеоларният гребен (частта от челюстта, която държи зъбите) е значително изтънял. Това често се постига с помощта на по-дълги импланти и прецизно 3D планиране, за да се гарантира, че здравето на синусната мембрана е запазено или правилно управлявано.

Транссинусови срещу традиционни зъбни импланти
Основната разлика между тези два подхода се състои в изискванията към костта и ориентацията:
- Традиционни импланти: Обикновено се поставят вертикално. Те изискват специфична височина и ширина на костта (обикновено поне 8-10 мм), за да бъдат успешни. Ако синусът се е „пневматизирал“ (разширил) или костта се е свила, просто няма достатъчно място, където традиционният имплант да се задържи.
- Транссинусови импланти: Често се поставят под ъгъл. Чрез накланяне на импланта хирургът може да заобиколи най-кухата част на синуса или да използва плътната кост на пода и стените на синуса. Това позволява използването на по-дълги импланти, което увеличава повърхността за осеоинтеграция (свързване на костта с импланта).
| Характеристика | Традиционни импланти | Транссинусови импланти |
| Костен обем | Изисква голям обем | Работи при малък обем |
| Хирургичен път | Вертикален / Прав | Наклонен / Пресича зоната на синуса |
| Време за лечение | По-дълго (ако е необходимо присаждане) | По-кратко (без присаждане) |
| Сложност | Стандартна | Висока (изисква специалист) |
Кой е идеалният кандидат за транссинусови импланти?
Не всеки пациент се нуждае от транссинусов подход, но за определена демографска група той променя живота. Идеалният кандидат обикновено отговаря на следния профил:
- Тежка максиларна атрофия: Пациенти, които са загубили значителна височина на костта в горната челюст поради дългосрочна липса на зъби или носене на протези.
- Нежелание за присаждане на кост: Пациенти, които искат да избегнат 6–9 месечния период на изчакване, свързан с операциите за повдигане на синуса (синус лифт).
- Неуспешни предишни импланти: Хора, които са претърпели неуспешно имплантиране в задната част на максилата поради лошо качество на костта.
- Системни здравословни съображения: Въпреки че се изисква операция, избягването на множество интервенции за присаждане може да бъде от полза за пациенти, които искат да сведат до минимум броя на инвазивните процедури.
Избягване на операция за повдигане на синуса с транссинусови решения
Едно от най-значимите „слаби места“ във възстановителната дентална медицина е синус лифтът. При традиционното повдигане на синуса мембраната се избутва нагоре, а отдолу се поставя материал за костна присадка. След това пациентът изчаква този материал да се превърне в твърда кост.
Транссинусовите решения предлагат алтернатива „без присаждане“. Чрез използване на философията „All-on-4“ или „All-on-X“, задните импланти се накланят. Това накланяне позволява на импланта да „заобиколи“ синуса или да се захване в плътната кост на носния под. Резултатът? Пациентът често може да получи фиксиран временен мост в същия ден на операцията, заобикаляйки „периода на заздравяване“, необходим при костните присадки.
Забележка: Избягването на повдигането на синуса също намалява риска от следоперативни усложнения като синузит или инфекция на присадката, правейки процеса на възстановяване много по-плавен за пациента.
Ролята на усъвършенстваното 3D изобразяване в хирургичното планиране
Транссинусовото имплантиране е игра на милиметри. Тази процедура не може да се извърши безопасно с помощта на старомодни 2D рентгенови снимки. Крайъгълният камък на успеха е CBCT (Конусно-лъчева компютърна томография).
Усъвършенстваното 3D изобразяване позволява на хирурга:
- Да картографира точната дебелина на стените на синуса.
- Да идентифицира местоположението на Шнайдеровата мембрана (лигавицата на синуса).
- Да локализира кръвоносни съдове и нерви, за да избегне нараняване.
- Виртуално да „тества“ поставянето на импланта с помощта на софтуер за хирургични водачи.
Този дигитален работен процес гарантира, че когато хирургът влезе в операционната зала, той има „GPS“ за анатомията на пациента, драстично увеличавайки безопасността и предвидимостта на транссинусовия подход.
Хирургичната процедура за транссинусово имплантиране
Процедурата е силно техническа и обикновено следва тези фази:
- Дигитална диагностика: Както бе споменато, прави се 3D сканиране, за да се създаде дигитален близнак на челюстта на пациента.
- Анестезия: В зависимост от сложността, процедурата се извършва под местна анестезия или интравенозна седация.
- Остеотомия (Подготовка на мястото): Хирургът създава прецизен канал. При транссинусовите случаи този канал е насочен към плътната кост по периферията на синуса.
- Управление на мембраната: Ако имплантът навлезе в синусното пространство, хирургът внимателно управлява мембраната, за да предотврати пробиване, често използвайки техники за „вътрешно повдигане“, които са много по-малко инвазивни от латералното повдигане.
- Поставяне на импланта: Дългият, специализиран имплант се завива на място, постигайки висок въртящ момент (стабилност).
- Незабавно натоварване: Ако стабилността е достатъчно висока, веднага се прикрепя временен протетичен мост.
Основни предимства на транссинусовия подход
- По-бързи „зъби в един ден“: Тъй като не чакате присадката да заздравее, „функционалната“ фаза на лечението започва почти веднага.
- Намалени разходи: Въпреки че самите импланти са специализирани, елиминирането на процедурите по присаждане на кост и многократните операции често намалява общата финансова тежест.
- По-висок процент на успеваемост при мека кост: Задната част на горната челюст е известна с „Тип 4“ (мека) кост. Транссинусовите импланти търсят „Тип 1 или 2“ (твърда) кост в околните опори на лицето.
- Подобрена биомеханика: Наклонените импланти позволяват по-широко „разпределение“, което осигурява по-добра опора за пълна арка от зъби.
Транссинусови срещу зигоматични импланти: Кое е по-добро?
Когато загубата на кост е екстремна, клиницистите често избират между транссинусови и зигоматични импланти.
- Зигоматични импланти: Те са много по-дълги и се закрепват в скулата (зигомата). Те са „последна инстанция“ за пациенти с почти нулева максиларна кост.
- Транссинусови импланти: Те са среден вариант. Използват самата максила, но навигират през синуса.
Кое е по-добро? Зависи изцяло от обема на костта. Ако има известна кост в максилата, често се предпочита транссинусовият подход, тъй като е по-малко инвазивен от зигоматичната хирургия. Въпреки това, ако максилата е напълно резорбирана, зигоматичните импланти осигуряват ниво на стабилност, което никой друг метод не може да постигне.


Вашият коментар